毎日、毎日、歯石を除去する毎日(^^)
見えるって凄い!!大変だけど結構好きです。見えない世界の歯石をとるの♡
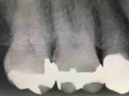
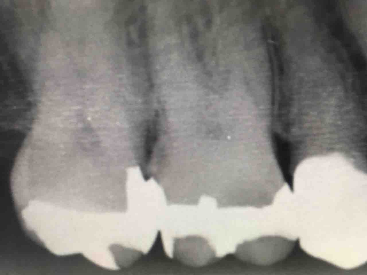
全て除去してこうなります↓
なかなか写真や動画を編集できませんが、毎日処置を行っています。
そして、皆さんは、こうやって写真を拡大すると歯科用顕微鏡があれば簡単に歯石が除去できると思われるかも知れません。
が、それは間違いです。
見えといっても、歯周ポケットの幅は健康で締まっていれば1mmあるかないかです。
今日のケースでも、0.8mm程度
1mm無い歯と歯肉の間。そして見える角度は限られて、更に器具の角度、挿入方向も限られる...
歯科用顕微鏡の処置は非常に制限される処置なのです
拡大した視野でも、その処置を行うのは私の実際の手です。私の手が0コンマ...の処置を行うのです。
シビアとしか言いようがありません
さて明日はどんな歯石との出会いがあるでしょうか






